겨울이 되면 감기나 폐렴, 또는 독감에 걸리기 쉽습니다. 세 가지 질환 모두 증상이 비슷해 일반인이 구분하기 어려운 점이 있습니다. 감기가 심하면 폐렴이 되는 걸까요? 오늘은 폐렴과 감기의 차이, 구분법에 대해 자세히 알아보았습니다.

목차
1. 폐렴 증상
폐렴은 폐에 미생물이 침범하여 생기는 염증입니다. 감염이 된 후 일주일 이내로 증상이 발현됩니다. 폐렴의 감염은 구강이나 비인두에 모인 병원균이 기도를 통해 들어오고 공기 중에 떠다니는 균이 호흡을 하면서 폐로 들어오게 됩니다.
> 폐렴의 증상은?



폐렴에 걸리는 가장 큰 증상은 심한 기침과 아주 노란 화농성 가래가 나타나는 점입니다. 38도 이상의 고열이 발생하며 가슴 통증이 있을 수 있습니다.
일부 폐렴은 바이러스에 따라 증상이 다릅니다. 마른 기침이 지속되거나 노인의 경우 폐렴에 걸려도 열이 없기도 합니다. 때로는 식욕이 떨어지고 기력이 약해지는 등의 증상만 있는 경우도 있습니다.
2. 감기 증상
감기는 목, 코 부분을 포함한 상부 호흡기계에 바이러스 감염을 생기는 질환입니다.
두통, 미열, 콧물, 인후통의 증상이 나타나지만 대체로 증상이 가볍습니다.
감기에 걸리면 별다른 치료 없이도 1주일 이내에 호전이 됩니다. 또는 증상에 따른 증상 치료만으로 회복이 됩니다.
3. 폐렴과 감기의 차이
폐렴 초기와 감기는 증상이 거의 비슷해 구분하기 어렵습니다. 감기의 경우에는 이틀째에 가장 증상이 심하고 일주일 정도 지나면 증상이 나아집니다. 하지만 폐렴은 증상이 악화되며 오래갑니다.

폐렴의 경우 호흡기 증상과 함께 고열이 나고 노란 가래가 나오기 때문에 이러한 증상이 지속된다면 병원을 방문해서 진단 및 치료를 받아야 합니다.
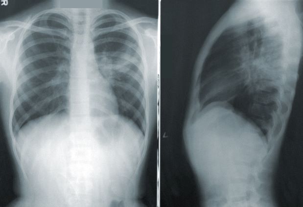
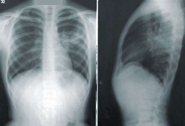
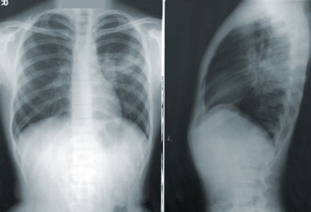
폐렴의 진단은 폐렴 주요 증상과 함게 호흡음, 발열 등의 진찰 소견과 함께 X-ray 촬영에서 폐 조직 내 고름이 많이 축적된 모습이 발견되면 폐렴으로 진단합니다.
4. 폐렴 치료 방법


폐렴 치료는 원인균에 대한 항생제 치료가 필요합니다. 먼저 입원 치료를 하지 않을 정도의 증상일 경우 폐렴을 잘 일으키는 균에 대한 항생제를 처방받습니다. 폐렴 구균이 가장 흔한 균입니다. 항생제 치료와 함께 기침, 가래 증상을 완화시키는 진해거담제 등의 약물을 함께 복용합니다.



폐렴을 가장 잘 일으키는 폐렴 구균은 에방접종을 통해 예방할 수 있습니다. 65세 이상 노인은 폐렴구균 예방접종 대상입니다.
5. 감기 치료 방법
감기의 치료는 앞서 말한대로 일주일 이내에 자연스럽게 증상이 호전됩니다. 대부분은 감기 증상 발현 후 잘 쉬면 증상이 나아집니다. 그러지 않을 경우 각 증상에 맞는 증상 치료를 진행합니다.
대개 항히스타민제나 진통소염제, 진해제와 같은 약물 치료를 진행합니다. 잘 쉬고 수분을 많이 섭취하는 것도 중요합니다.
오늘은 폐렴과 감기의 차이, 구분 방법에 대해 살펴보았습니다. 감기와 폐렴은 감염 바이러스가 다르므로 감기가 심해진다고 폐렴이 되는 것은 아닙니다.
-
해열진통제 종류와 해열제 교차복용 시간, 복용 방법
아이를 키우다 보면 해열진통제 종류나 해열제 성분에 대해 어느 정도 수준의 지식을 얻게 됩니다. 하지만 신생아를 키우는 초보 엄마나 성인들은 해열진통제 성분에 대해 잘 알지 못합니다. 오
allinfors.com
영유아 코로나19 백신 접종 시작 (접종 대상, 백신 종류, 접종 기관)
영유아 코로나19 백신 접종 시작 (접종 대상, 백신 종류, 접종 기관)
2023년 2월 13일부터 영유아의 코로나19 백신 접종이 시작됩니다. 오늘은 영유아 백신 접종 대상과 접종 백신 종류, 접종 방법, 접종 기관 정보까지 자세히 살펴보겠습니다. 목차 1. 영유아 아기 코
allinfors.com
겨울철 굴 효능과 굴 손질법 및 섭취 방법
오늘은 겨울철 먹기 좋은 제철 수산물인 굴에 대해 알아보겠습니다. 영양가 많은 굴은 겨울 대표 보양식입니다. 하지만 바르게 손질해야 바이러스 감염 없이 안전하게 섭취할 수 있습니다. 오늘
allinfors.com
댓글